Your Preferred Dentist in Maple, Ontario
Patient Care is our Passion
Experience the difference.
- Open on Satrudays
- Renowned dental clinic with modern technologies
Request a Consultation
Welcome to Gillmore Medical Dental
We invite you to explore our website and discover our passion and dedication in caring for our patients. We offer a wide range of family dental services and are proud to be your chosen dentist in Maple and Vaughan, ON.
Comfort
We want your visit to be comfortable. That’s why we offer many amenities, including soft blankets, headphones, pillows, and even a movie gallery.
Convenience
Your time is maximized at every appointment. We offer evening and Saturday appointments, multiple family appointments, and combine multiple treatments in a single appointment.
Same-Day Emergencies
The unexpected happens, we get that. If you’re undergoing a dental emergency, please call our office, and we’ll get you in as soon as possible.
Our Services
Family Services
- Emergency Care
- Routine Cleanings
- Periodontal Scaling
- Sportsguards
- Children's Dentistry
Cosmetic Services
- Porcelain Veneers
- Smile Makeover
- Zoom! Teeth Whitening®
- Invisalign®
Restorative Services
- Dental Implants
- Bridges
- Crowns
- Metal-Free Fillings
- TMJ
- Sedation Dentistry
What Can You Expect at Our Dental Office?

Conveniences for You
Our mission is to make your dental experience a comfortable one.

Quality Treatments
Every treatment plan is unique to you. Educate yourself on the services we offer.

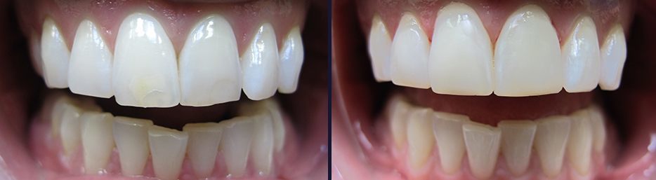
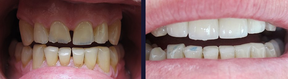
Smile with Confidence
Visit our smile gallery and witness the smiles we've crafted for all our patients.
Meet Our Dentists in Maple Ontario

Dr. Nina Gillmore
"My husband and I opened Gillmore Medical Dental together where we've established a trusted name within the community since 1992. I look forward to serve your dental needs as a dentist in Maple."
- Received DDS degree in 1992
- Graduate of the University of Toronto
- Offers family and cosmetic dentistry

Dr. Hillary Gillmore
Hillary is passionate about building trusting relationships with her patients. She wants to make the dental experience as pleasant as possible for her patients.
- Bachelor of Science - Western University
- Masters of Biomedical Science - University of Guelph
- Doctor of Dental Surgery - Schulich School of Medicine and Dentistry
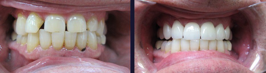
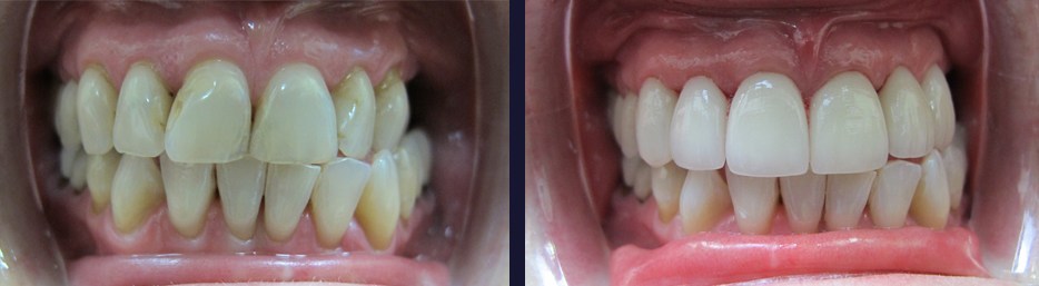
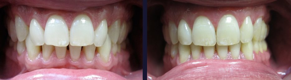
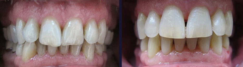
Smile Gallery
See the real work from our cosmetic dentist in Maple, ON.










Are you ready for your new smile?
Get in touch with our top cosmetic dentist in Maple, ON today!
Testimonials
EXCELLENT Based on 350 reviews Posted on Michele PulleyTrustindex verifies that the original source of the review is Google. Have always gone to the other end of the building for aviation medical and this time I had a dental emergency.The staff was amazing from Nina making sure I was scheduled immediately. Hillary informed me of my options which by the way included a far less invasive procedure I had been told I needed ! I had been to a dentist in Arizona area but wanted to be home in Canada! Hillary looks so young I have to admit I was frightened but immediately comforted by her obvious skill and experience. I can't give enough positive feedback in one review from the office staff the dental assistant and Hillary's skill as a dentist! You are in good hands at this office! It is apparent they truly care...thank you!Posted on Cristina VantiniTrustindex verifies that the original source of the review is Google. There aren’t enough nice words I can say about Dr. Nina Gillmore’s practice! From the moment you’re welcomed by the lovely reception ladies (Lori and Nora), to the great dental assistants and, of course, to Dr. Gillmore herself. She is as skilled as she is patient and always super accommodating and kind!Posted on Magy C.Trustindex verifies that the original source of the review is Google. This is such a great place! Dr Gillmore and her daughter Dr. Hillary are such great dentists along with all their staff. They really make you feel at home and very taken care of!Posted on Mrs MagliaroTrustindex verifies that the original source of the review is Google. I had a cleaning appointment today and Ashley was my hygienist. She was delightful and offered valuable advice on maintaining good oral hygiene. Dr. Gilmore, your staff is outstanding and each one deserves commendation for their excellent work. You always leave with a smile 😃 at Dr Gilmore office!!👍Posted on Sharareh MalekzadehTrustindex verifies that the original source of the review is Google. Despite reading all the 5-star comments and selecting her based on them, I had a less-than-satisfactory experience, as expected. I moved to Vaughn and needed a new dentist for a routine checkup. I found her based on Google reviews in October 2024. She completed a full checkup, which led us to identify 2 small cavities and a cleaning. one of the small cavities was on a prefilled tooth with amalgam which was old. the procedure is to remove the old filling and refill the tooth completely. She convinced me to not refill with amalgam however I insisted a couple of times that I preferred that knowing it wouldn't look good but I agreed to fill in with white material. after relieving the numbing effect, I felt pain when I chewed anything even gum. I booked an appointment to polish it and adjust the filling. still in pain after adjusting the height. I ended up booking an appointment with another dentist turning out the old amalgam was not completely removed and not a layer of painkillers applied before filling as it was a very deep filling. Long story short, that poor tooth ended up having a root canal because of multiple refills, and gum surgery to put a crown. the whole process costs me $5K+ and thank God I have good dental insurance covering it all. to be fair, she is so friendly and you are comfortable in her office if you are afraid of any dental kind of things. her assistant and office staff are very friendly and professional.Posted on Angie BianchiTrustindex verifies that the original source of the review is Google. Always great care!Posted on john bTrustindex verifies that the original source of the review is Google. Great team lead by a great Dentist. Kind, friendly, intelligent and efficient. I’m very happy to be their patient 🙌
We Invite You to Come Visit Us
Find Us
You can find the entrance and parking at the rear of the building.
Contact Us
Call us at 905.832.2010 or send us an email at office@drgillmore.ca
Smile with Confidence
Visit our smile gallery and witness the smiles we've crafted for all our patients.
OUR HOURS
Monday to Thursday 8:00 AM - 5:00 PM
Friday 8:00 AM - 3:00 PM
Saturday 7:00 AM - 2:00 PM